
Soprano® 10
Farbecht und farbstabil für eine natürliche Ästhetik
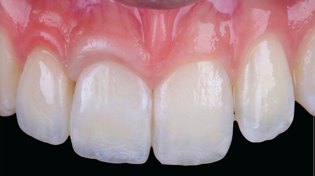
Soprano® 10 ist eine silikatische Glaskeramik. Sie eignet sich hervorragend für die ästhetischen Verblendungen der Lithiumdisilikat-Glaskeramik Livento® press und Zirkonoxid.
- Thixotropes Verhalten: Das Auftragen der Keramik kann dank des thixotropen Verhaltens des Materials punktgenau realisiert werden.
- Einfach: Ein einfaches und zeitsparendes Schichterlebnis, da sich die Nachbearbeitung reduziert.
- Farbstabil: Dank der Farbstabilität und Helligkeit von Soprano® 10 kann auch mit dünnen Schichten der gewünschte Farbeffekt erzielt werden. Die Farbechtheit bleibt auch nach mehreren Brennprozessen stabil.
Merkmal | Spezifikation |
---|---|
Indikationen | Charakterisierung und Verblendung von Gerüsten aus Livento® press und Zirkonoxid / Individuell geschichtete Veneers. |
Portfolio | Das Opakdentin ist zusätzlich zu den 16 VITA-Classic-Farbsystem auch in A0 und B0 erhältlich. Frame Modifier und Margin sind für Zirkonoxid-Verblendungen erhältlich. |
Klinische Fälle
Produktinformation
Blättern Sie digital durch unseren Katalog.
Nächste Kurse
Livento® press und Soprano® 10